Ortodontik Tedavi
Ortodontik Tedavi Nedir?
Diş hekimliğinin en eski uzmanlık alanı olan ortodonti, dişsel düzensizlikleri ve yüz anomalilerini teşhis, önleme ve tedavi etmeye odaklanan diş hekimliği branşıdır. Ortodonti, ilk günlerinden bu yana milyonlarca kişinin gülüşünü güzelleştirmede ve ağız fonksiyonunu iyileştirmede önemli bir rol oynamıştır. Diş hekimliği bilimi ilerledikçe, ortodonti teknikleri ve araçları da gelişmiştir.
Ortodontinin temel amacı, diş ve çenelerin ideal hizalanmasını sağlamak ve yüz yapısının simetrisini artırmaktır. Modern ortodonti, geleneksel uygulamalarla yenilikçi teknolojiyi birleştirerek daha verimli, daha az ağrılı ve estetik açıdan daha hoş tedaviler sunar.
Kısaca özetleyecek olursak, ortodonti, yanlış pozisyonda bulunan dişleri ve çeneleri düzelten diş hekimliği branşıdır. Tel tedavisi, diş telleri, braket tedavisi olarak da adlandırılmaktadır. Ortodonti uzmanları beş yıllık diş hekimliği eğitimine ek olarak dört yıllık uzmanlık eğitimi almaktadırlar.
Ortodontik tedavilerle ilgili Amerikan Ortodonti Derneğinin makalelerine ulaşmak için tıklayın.
Çapraşık ve yanlış pozisyonda bulunan dişlerin oluşturdukları sıkıntıları sayacak olursak:
- dişlerin fırçalanması ve temizlenmesi zordur
- diş çürüğü ve diş eti hastalığı oluşma ihtimali yüksektir
- diş çürüğü ve diş eti hastalığından dolayı dişler erken kaybedilebilir
- çapraşık dişler çiğneme kaslarında fazla stres oluşturdukları için baş, çene eklemi omuz ve sırt ağrılarına neden olabilirler
- ciddi estetik problemler oluşturmaktadırlar.
Çapraşık dişler bireyin estetik görünümünü olumsuz yönde etkilemekte ve sosyal hayatında problemler oluşturmaktadır.
Bu bilgiler ışığında ortodontik tedavinin daha sağlıklı bir ağız, daha güzel bir görünüm ve daha uzun ömürlü dişler anlamına geldiğini söyleyebiliriz.
Ortodontik Tedavi Yaptırmama Gerek Var Mı?
Gerçekten ortodontik tedavi ihtiyacınızın olup olmadığı kararını diş hekiminiz veya ortodonti uzmanınız verecektir. Doktorunuz elinde bulunan farklı teşhis araçlarını (fotoğraf, röntgen vs) kullanarak ortodontik tedavi ihtiyacınızı değerlendirecektir.
Eğer aşağıdaki durumlardan biri veya birkaçı sizde mevcutsa ortodontik tedavi için aday olabilirsiniz:
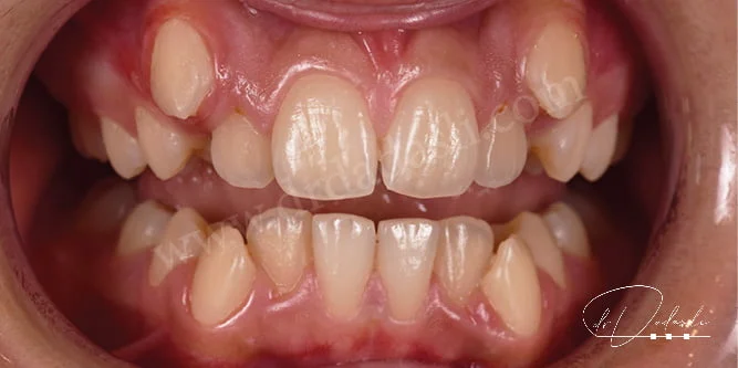
- Üst dişlerinizin önde olması (Şekil 1) – bu durumun iki farklı nedeni vardır: 1) üst dişleriniz öndedir, 2) alt çeneniz veya dişleriniz geride konumlanmıştır. Bu durumun ortodonti bilimindeki ismi Sınıf II maloklüzyondur.

- Ters kapanış (Şekil 2 ve Şekil 3) – bu durumda alt ön dişler üst ön dişlerin gerisinde bulunmaları gerekirken önünde konumlanmıştır. Bu durumun ortodonti bilimindeki ismi Sınıf III maloklüzyondur.


- Çapraz kapanış (Şekil 4) – normal şartlarda üst dişlerin alt dişleri kutu kapağı gibi örtmesi gerekir. Yani üst çene alt çeneden daha geniştir. İşte üst çene alt çeneye göre dar olduğu durumlara çapraz kapanış ismi verilmektedir. Çapraz kapanışı olabildiğince erken yaşta tedavi etmek gerekir.

- Açık kapanış (Şekil 5 ve 6) – ağız kapatıldığı zaman alt ve üst ön dişler arasında boşluk kalmasıdır. Bazı olgularda arka taraftaki dişler arasında da açık kapanış olabilir.


- Dişlerin orta hatlarının kayması (Şekil 7) – üst iki orta keser dişin ortası ile alt iki orta keser dişin ortasının çakışmamasıdır.

- Boşluklar (Şekil 8 ve 9) – dişler arasında bir veya daha fazla boşluk varsa, kapatılması için ortodontik tedavi yapılmalıdır.


- Çapraşıklık (Şekil 10) – dişlerle çene arasında boyut uyumsuzluklarından dolayı, dişler çenelere sığamazlar ve çapraşıklık oluşur.

Ortodontik Tedavinin Avantajları
Ortodontik tedavi, sadece kusursuz gülüşler yaratmakla kalmaz; aynı zamanda hayatınızı da şekillendirebilir. Ortodonti yolculuğu, hem estetik hem de işlevsel faydalar sunar:
- Estetik: Düzgün bir gülüş, öz güveni önemli ölçüde artırabilir. Ortodontik tedaviyle gelen değişiklikler, görünümünüzle ilgili yeni bir gurur duymanızı sağlayabilir.
- Daha İyi Fonksiyonu: Çapraşık dişler veya çene sorunları, düzgün konuşma ve çiğneme fonksiyonları etkileyebilir. Ortodontik tedavi, dişlerinizi düzeltmekle kalmaz, aynı zamanda konuşma ve çiğneme fonksiyonları da iyileştirir.
- Azaltılmış Diş Problemleri: Sıkışık veya çapraşık dişler, bakteri barındırma olasılığı yüksek olduğundan çürükler ve diş eti hastalıklarına yol açabilir. Ortodonti, dişleri hizalayarak zararlı bakterilerin gizlenebileceği alanları azaltır.
- Çene Pozisyonunun Düzeltilmesi: Derin kapanış, ters kapanış ve çapraz kapanış gibi sorunlar, çeneye baskı yaparak temporomandibular eklem (TME) bozukluklarına yol açabilir. Ortodontik tedavi, bu hizalanma sorunlarını düzelterek olası komplikasyonları azaltır.
- Daha Kolay Temizlik: Düzgün hizalanmış dişler, temizlemesi, diş ipi kullanması ve bakımı daha kolaydır. Bu da daha iyi ağız sağlığı, daha taze nefes ve daha düşük periodontal hastalık riski anlamına gelir.
- Uzun Vadeli Mali Kazançlar: Şimdi ortodontik tedaviye yatırım yapmak, gelecekte birçok diş sorununu önleyebilir. Bu da gelecekteki diş tedavi maliyetlerinde önemli tasarruflar sağlar.
Ortodontik Tedavi İçin Uygun Olmayan Durumlar
Ortodontik tedaviye başlamadan önce, dişlerinizin ve diş etlerinizin sağlıklı olması önemlidir. Ciddi diş sorunları, özellikle ileri çürükler veya diş eti hastalığı gibi durumlar, braketlerin takılmasıyla daha da kötüleşebilir ve ağız sağlığınızı olumsuz etkileyebilir.
Eğer çürükleriniz veya diş eti hastalığınız varsa, öncelikle bir diş hekimine başvurarak bu sorunları tedavi ettirmelisiniz. Bu sorunlar kontrol altına alındıktan sonra, ortodontik tedavinin sizin için uygun olup olmadığını öğrenmek için ortodonti uzmanınıza danışabilirsiniz.
Ortodontik Tedavi Seçenekleri
Günümüzde, metal veya seramik diş tellerinden şeffaf plaklara kadar geniş bir yelpazede ortodontik apareyler bulunmaktadır. Bu tedaviler sabit ya da çıkarılabilir olabilir.
Her bir seçeneğin kendine özgü faydaları ve kullanım alanları vardır. Ortodontistler, yaş, çene dengesizlikleri, diş boyutlarındaki farklılıklar gibi faktörleri değerlendirebilecek uzmanlığa sahiptir. Sizin için en uygun tedavi seçeneğini belirleyip size özel bir gülüş oluşturmak için sizinle birlikte çalışırlar.
Ortodontik Tedavi Nasıl Yapılır?
Yukarıda saymış olduğum problemleri çözmek için ortodontik tedavi – yani tel tedavisi yapmak gerekir. Dişleri hareket ettirmek, kasları rahatlatmak, çene gelişimini sağlamak vs. için çok çeşitli ortodontik apareyler kullanılmaktadır. Bu apareyler, dişlere ve çenelere hafif kuvvetler uygulayarak çalışmaktadır. Var olan probleminizin boyutuna göre doktorunuz ortodontik tedavi planı oluşturacaktır.
Yetişkin ve Çocuklar için Ortodontik Tedavi
Metal/Porselen Braketlerle Sabit Ortodontik Tedavi
Sabit ortodontik apareyler – ortodontik tedavi amacıyla en yaygın olarak kullanılan apareylerdir. Dişlerin üzerine yapıştırılan braketler (Şekil 11) bu apareylere en iyi örnektir. Bazen arka dişlere band dediğimiz, dişi çepeçevre saran ve braketle aynı işlevi gören küçük apareyler yapıştırabilmektedir. Ark telleri dediğimiz diş telleri ise braketlerin/bandların içinden geçen ve dişleri hareket ettirmemize yardımcı olan bileşenlerdir. Doktor ark telini aktive ederek (sıkarak) dişe uygulanan kuvveti artırmaktadır. Bu aktivasyonlar genellikle 4-6 hafta arası yapılmaktadır. Modern braketler daha küçük, daha hafif ve eski braketlere göre daha az gözükmektedir.
Braketlerin üzerine takılan elastikler (bu elastiklere ligatür denmektedir) farklı renklerde olabilmektedir (Şekil 12), istenirse metal renginde gri elastikler (Şekil 10) de takılabilir. Metal braketler dışında porselen/safir braketler de bulunmaktadır (Şekil 13 ve Şekil 14).




Lingual Ortodonti
Aynı zamanda dişlerin iç yüzeyine yapıştırılan braketler de vardır. Bu tedavi tekniğinin adı lingual ortodontidir. Lingual ortodonti tedavisinde, braketler dişlerin iç kısımlarına yerleştirilir. Bu nedenle, braketler veya teller dışarıdan görünmez. Tamamen görünmez olmaları nedeniyle bu yöntem sıklıkla ‘görünmez diş teli’ olarak adlandırılmaktadır. Ancak, her hasta bu tedavi yöntemine uygun olmayabilir.
Şeffaf Plaklar
Şeffaf Plaklar- Bu tedavi tekniğine halk arasında telsiz ortodonti de denmektedir. Estetik beklentisi yüksek olan hastalar için ideal bir seçenektir. Şeffaf apareylerin en çok tercih edilen markası Invisalign’dır (Şekil 15). Invisalign’la hiç diş teli takmadan ortodontik tedavi yaptırabilirsiniz. Plakları istediğiniz zaman takıp, istediğiniz zaman çıkartabildiğiniz için günlük hayatta çok konforlu bir tedavi seçeneğidir.

Küçük Çocuklar için Ordotonitk Tedaviler
Hareketli Ortodontik Apareyler
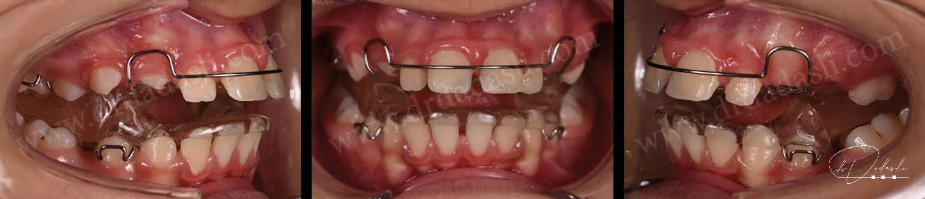
Hareketli ortodontik apareyler – genellikle çocuklara uygulanmaktadır. Henüz gelişim çağında olan çocuklarda hareketli apareylerle birçok iskeletsel ve dişsel problemler çözülebilir (Şekil 16 ve Şekil 17). Erken yaşta çözülebilecek problemler arasında çapraz kapanış, alt çene geriliği, üst çene geriliği, alt çenenin önde olması, üst dişlerin önde olması, uzun süre parmak emmeye bağlı olarak gelişen problemler, çeşitli kötü alışkanlıklar sonucu oluşan diş ve çene problemleri vs gibi problemlerdir. Özellikle bazı problemleri erken yaşta teşhis edip, tedavisinin yapılması gerekmektedir. Çocuk büyüme gelişimini tamamladıktan sonra iskeletsel problemleri çözümü genellikle cerrahi yolla olmaktadır. Bu yüzden çocuğunuz 7 yaşındayken ortodonti uzmanına başvurmanız gerekmektedir. Erken yaşta teşhis edilen problemler çoğunlukla kolayca çözülebilmektedir.


Ortodontik Yüz Maskesi
Yüz maskesi apareyi (face mask) – üst çene geriliği bulunan çocuklarda yapılan tedavi şeklidir. Ağız içi ve ağız dışı iki parçadan oluşmaktadır. Çok çeşitli yüz maskesi tedavi şekli vardır. Çocuğunuz için en uygun olanına ortodonti uzmanı karar verecektir.
Yüz maskesi tedavisi ile ilgili yazımı okumak için tıklayın.

Fonksiyonel Apareyler
Fonksiyonel apareyler – alt çene geriliği olan hastalarda yapılan ortodontik tedavi şeklidir. Fonksiyonel apareylerle yapılan tedavi fonksiyonel çene ortopedisi olarak adlandırılmaktadır. Fonksiyonel çene ortopedisinde en önemli faktör tedavi zamanlamasının iyi ayarlanmasıdır. Fonksiyonel çene ortopedisi tedavisinde kullanılan çok fazla sayıda yöntem ve aparey vardır. Çocuğunuz için en uygun olan yönteme ortodonti uzmanınız karar verecektir.
Fonksiyonel tedavilerle ilgili yazımı okumak için tıklayın.

Ortodontik tedavi için kullanılan çok fazla sayıda aparey ve aparey kombinasyonu vardı. Burda hepsinden bahsetmek mümkün olmamakla beraber, anlattıklarım hepsi genel bilgilendirme amaçlıdır. Herhangi bir tavsiye veya tedavi yerine geçmez. Sizin için en uygun tedavi veya tedavi kombinasyonunu kendi doktorunuz belirler.
Ortodontik Tedavi Sonrası
Ortodontik tedaviniz tamamlandığında, dişlerinizin yeni konumunu korumak için bir retainer kullanmanız gerekecek. Retainerlar sabit ve çıkarılabilir olup, dişlerinizin düzeltilmiş konumda kalmasını sağlamak için takılmalıdır. Genellikle en az 12 ay boyunca kullanılması gerekse de, ortodontistiniz sizin durumunuza uygun olarak ne kadar kullanmanız gerektiğini söyleyecektir. Ortodontik tedavi sonrası kullanılan pekiştirme apareyleri ile ilgili daha fazla bilgi almak için Ortodontik Tedavi Sonrası isimli yazımı okuyabilirsiniz.
