Metal Diş Teli
Metal Diş Teli Hakkında Bilmeniz Gereken Her Şey
Metal diş telleri uzun zamandır ortodontik tedavinin temel taşıdır ve yıllardan beri çapraşık dişleri düzeltmek için etkili yöntemdir. Estetiğin ötesinde, diş telleri dişleri ve kapanışı düzelterek daha iyi ağız sağlığının desteklenmesinde önemli bir rol oynar ve bu da çeşitli diş sorunlarını önleyebilir.

Günümüzde seramik (porselen) diş telleri, lingual diş telleri ve şeffaf plaklar gibi birçok ortodontik seçenek olsa da, metal diş teli popüler bir seçim olmaya devam etmektedir. En uygun tedaviyi belirlemek için bir ortodonti uzmanına danışmak çok önemlidir.
Bu makalede metal diş tellerinin faydaları, dezavantajları ve bakım ipuçları ele alınacaktır. Ayrıca, bilinçli bir karar vermenize yardımcı olmak için bunları alternatif tedavilerle karşılaştıracağız.
Metal Diş Teline Genel Bakış
Metal diş teli diş çapraşıklıklarını, yanlış hizalanmış dişleri ve kapanış sorunlarını gidermek için tasarlanmış bir tür sabit ortodontik apareydir. Bu sorunları düzeltme konusunda uzmanlaşmış ortodontistler şu amaçlarla diş teli önerebilirler:
- Dişleri hizalamak ve düzeltmek
- Ön ve arka dişlerin düzgün bir şekilde kapanmasını sağlamak
- Belirgin ve öne çıkık dişleri geri alarak zarar görme riskini azaltmak
Ortodontistler, dudak ve damak yarığı gibi bazı sağlık sorunlarının tedavisine de yardımcı olabilir.
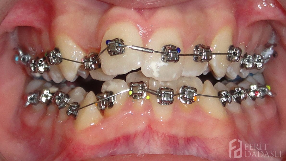
Metal diş telini takmak için ortodontist metal braketleri dişlere yapıştırır ve braketlerdeki yuvalardan esnek bir tel geçirir ve bu teli ligatür adı verilen küçük lastik bantlarla yerine oturtur ve sabitler. Bu diş telleri, dişlere hafif bir baskı uygulayarak onları kademeli olarak doğru konumlarına getirerek çalışır. Düzenli hekim randevuları sırasında ortodontist bu yeniden hizalama sürecini devam ettirmek için telleri sıkabilir.
BMC Oral Health dergisinde yayımlanan bir çalışma, metal diş tellerinin şeffaf plaklara kıyasla dişlerin rotasyonunun düzeltiminde, diş telinin çıkarılmasından sonra retansiyonu ve bazı maloklüzyon türlerinin tedavisinde daha etkili olduğunu göstermiştir.
Bazı durumlarda, diş tellerine ek destek sağlamak için arka dişin etrafına metal bir bant yerleştirilir. Üst ve alt dişler arasındaki kapanışı düzeltmeye yardımcı olmak için lastikler de kullanılabilir.
Tipik olarak her 4-8 haftada bir yapılan düzenli kontroller, diş tellerinin doğru çalıştığından emin olmak ve gerekli ayarlamaları yapmak için çok önemlidir.
Metal Diş Tellerinin Avantajları ve Dezavantajları
Metal diş telini düşünürken, avantaj ve dezavantajları tartmak önemlidir.
Avantajlar:
- Etkinlik: Sabit bir aparey olarak metal diş telleri, diş hareketi üzerinde hassas kontrol sağlayarak karmaşık ortodontik vakalar için oldukça etkilidir.
- Dayanıklılık: Metal diş tellerinde kullanılan malzemeler güçlü ve uzun ömürlüdür, bu da onları hasara veya renk bozulmasına daha az eğilimli hale getirir.
- Özelleştirilebilirlik: Hastalar elastik ligatürler için çeşitli renkler arasından seçim yaparak tedavi sırasında kişiselleştirilmiş bir görünüm elde edebilirler.
- İyileştirilmiş Ağız Sağlığı: Yanlış hizalanmış dişlerin düzeltilmesi, temizlenmelerini kolaylaştırarak plak birikimi, diş eti hastalığı ve diğer ağız sağlığı sorunları riskini azaltabilir.
Dezavantajlar:
- Estetik Kaygılar: Bazı insanlar, özellikle şeffaf plak veya seramik diş telleri gibi daha az fark edilir seçeneklerle karşılaştırıldığında, metal diş tellerinin görünümü beğenmezler.
- Diyet Kısıtlamaları: Metal diş teli olan kişilerin diyetlerine dikkat etmeleri, diş tellerine zarar verebilecek veya plak birikimine neden olabilecek yapışkan ve sert yiyeceklerden kaçınmaları gerekir.
- Konfor: Metal diş teli, özellikle ayarlamalardan sonra rahatsızlığa neden olabilir ve ağzın içini tahriş edebilir.
- Süre: Metal diş teli ile tedavi tipik olarak 1-3 yıl sürer ve bu süre bazı temel tedavilerden daha uzundur.
Metal Diş Tellerinin Bakımı
Diş teli takarken diş eti iltihabı ve plak oluşumu gibi komplikasyonları önlemek için iyi bir ağız hijyeni sağlamak çok önemlidir. İşte metal diş tellerinin bakımı için bazı ipuçları:
- Düzenli olarak fırçalayın: Dişlerinizi günde en az üç kez, ideal olarak her yemekten sonra fırçalayın. Braketlerin ve tellerin üstünü, altını ve arasını fırçalamaya özellikle dikkat edin.
- Özel Aletler Kullanın: Dişlerin arasını ve diş tellerinin etrafını daha etkili bir şekilde temizlemek için diş ipi veya diş arası fırçası kullanmayı düşünün.
- Diyetinize Dikkat Edin: Diş tellerine zarar verebilecek gıdalardan kaçının, örneğin
- patlamış mısır,
- kuruyemişler, fındık,
- sert şekerler,
- sakız.
- elma veya havuç gibi bütün sert meyveler,
- mısır,
- sert ekmek veya simit,
- buz
Özellikle diş teli takıldıktan sonraki ilk birkaç gün boyunca daha yumuşak yiyecekleri tercih edin.
Metal Diş Telleri ve Diğer Ortodontik Tedaviler
Metal diş telinin her birinin kendine özgü avantaj ve dezavantajları olan çeşitli alternatifleri vardır:
- Seramik Diş Telleri: Bunlar metal diş tellerine benzer, ancak diş renginde seramik bir malzemeden yapılmıştır, bu da onları daha az görünür hale getirir. Ancak daha pahalıdırlar ve daha az dayanıklı olabilirler.
- Şeffaf Plaklar: Şeffaf plaklar neredeyse görünmezdir ve çıkarılabilir, basit vakalarda daha fazla kolaylık ve daha kısa tedavi süreleri sunar. Ancak, karmaşık vakalar için o kadar etkili olmayabilirler ve genellikle daha pahalıdırlar. Şeffaf plaklar ilgili daha fazla bilgi almak için Şeffaf Plak Tedavisi yazımızı okuyabilirsiniz.
- Lingual Diş Telleri: Bunlar dişlerin arkasına takılan metal diş telleridir ve önden görünmezler. Ancak daha pahalıdır, temizlenmesi daha zordur ve konuşmayı etkileyebilir. Lingual Braketlerle ilgili daha fazla bilgi almak için Lingual Ortodonti yazımı okuyabilirsiniz.
- Kapaklı Braketler (Diş Telleri): Metal diş tellerine benzer şekildedirler ama bunlar elastik bantlar gerektirmezler ve daha az kontrolle daha hızlı, daha rahat bir tedavi sunabilirler. Ancak, tüm vakalar için uygun olmayabilir ve daha pahalıdır. Kendinden bağlanan diş tellerinin seramik alternatifleri de vardır.
Özet
Metal diş telleri, çapraşık dişleri düzeltmek için denenmiş ve doğrulanmış bir ortodontik tedavidir. Seramik braketler, şeffaf plaklar ve lingual braketler gibi diğer seçenekler mevcut olsa da, metal braketler birçok hasta için güvenilir bir seçim olmaya devam etmektedir.
Metal diş tellerinin etkinliğini sağlamak ve ağız sağlığı sorunlarını önlemek için uygun bakım ve düzenli kontroller şarttır. Nihayetinde, en iyi ortodontik tedavi bireysel ihtiyaçlara bağlı olacaktır ve size uygun tedavi seçeneğini belirlemek için bir ortodontiste danışmak önemlidir.




